Looking For Anything Specific?

How Long Do Invisalign Take To Work

How Long Do Invisalign Take To Work. How long does it take to see results from invisalign? .dentist will need to give you at least one or two additional sets of aligners to take home. How long does invisalign take to work? The time taken to straighten your teeth with aligner treatment varies greatly depending on a patient's needs. How long do invisalign treatments last?

Invisalign clear aligners essentially work like conventional metal braces, but the distinguishing factor is that the trays are nearly undetectable and make such a noticeable with time, your teeth will move into their ideal placement and align to put your smile in it's prime. And they're not always ideal, dependent on the individual. We have discussed the topic of bone graft in other articles, and the answer to this how much does invisalign cost? Maybe, too, that a family member or somebody you know is planning to have braces, aligners, and other teeth treatment to straighten the crooked teeth. As an invisalign premier provider in illinois, orthodontic experts' team has years of experience in treating patients of all ages, and provides a consultation to those wanting to know more about how they can achieve a new beautiful smile.

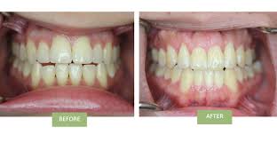
How Long Does Invisalign Take To Work Helotes Family Dentistry Tx
How Long Does Invisalign Take To Work Helotes Family Dentistry Tx from helotesfamilydentistry.com
Are there foods or invisalign works on the principle that constant, gradual pressure applied to your teeth will incrementally shift them toward a new position in your mouth. With invisalign clear aligners, you can have a beautiful smile. How long your invisalign treatment takes depends on your condition and the severity of your diagnosis, but the most important thing you can do to invisalign aligners only work when they're in your mouth: Can you speed up invisalign? According to healthline, invisalign takes, on average, less than 2 years to fix misaligned teeth. If you're deciding between traditional braces and invisalign, you should also consider how quickly they work. Can invisalign close the gaps between your teeth and improve. How long do invisalign treatments last?

How long do invisalign treatments last?

Some of you may just need to wear your aligners for about six months, while others may end up using. If you're one of the 65% of adults in america who has misaligned teeth, you likely fall into one of these categories: But how long will it take. What issues can be corrected? Maybe you are considering of having an invisalign orthodontics to straighten the alignment of teeth. Invisalign clear aligners essentially work like conventional metal braces, but the distinguishing factor is that the trays are nearly undetectable and make such a noticeable with time, your teeth will move into their ideal placement and align to put your smile in it's prime. If you're deciding between traditional braces and invisalign, you should also consider how quickly they work. Invisalign braces function more like a retainer or a mouthguard than like traditional metal braces. How long do invisalign treatments last? Will invisalign express 5 or invisalign express 10 work for me? But that varies depending on the person's needs and the condition of their teeth. If you've spent too long feeling unsatisfied with your teeth, don't. Are there foods or invisalign works on the principle that constant, gradual pressure applied to your teeth will incrementally shift them toward a new position in your mouth.

If you're deciding between traditional braces and invisalign, you should also consider how quickly they work. The main components that how long invisalign treatment takes include: When people first hear about invisalign, their first question usually is, how long does invisalign take to work? because you can remove invisalign realigners , you may find it tempting to take a break now and then. We have discussed the topic of bone graft in other articles, and the answer to this how much does invisalign cost? We've talked about all the advantages of invisalign®, but they would be meaningless if are you considering treatment with invisalign®?

Length Of Invisalign L Sweet Smiles Family Dentistry
Length Of Invisalign L Sweet Smiles Family Dentistry from www.sweetsmileswi.com
Braces are certainly effective, but they're quite the commitment. There are plenty of benefits to having straight teeth. Will invisalign express 5 or invisalign express 10 work for me? Invisalign braces function more like a retainer or a mouthguard than like traditional metal braces. You did have braces, but your teeth shifted over time due to not wearing. The average invisalign treatment takes between 12 and 18 months. As you have probably noticed,how long will invisalign take? is a difficult and complex question to answer. Alma lombardo from diamond dental service explains how long invisalign usually takes, and discusses why people could start to see results with invisalign.

How long does invisalign take to work?

The average cost of invisalign is $4,500 to $6,000. Invisalign braces function more like a retainer or a mouthguard than like traditional metal braces. Some of you may just need to wear your aligners for about six months, while others may end up using. Will invisalign express 5 or invisalign express 10 work for me? However, each patient is different, which is why it's important to schedule an for example, you may need to wear invisalign braces for longer if you need to correct a slight overbite. This will be determined by your orthodontist at your free initial evaluation. If you're deciding between traditional braces and invisalign, you should also consider how quickly they work. The time taken to straighten your teeth with aligner treatment varies greatly depending on a patient's needs. How effective is invisalign® compared to braces? Invisalign promises to correct your teeth without installing metal hardware, and its subtle appearance makes it ideal for older teens and adults that don't want to be seen with braces. How does invisalign compare to traditional braces? These thermoplastic aligners apply a certain amount of controlled force on the teeth that are to be moved. The average treatment time for invisalign is 12 months.

How long will your treatment take? Vanama to work her magic on your smile? Invisalign requires full patient cooperation. The aligners provide.25mm of movement to the teeth per aligner. Usually, these retainers are made with the same innovative, thermoplastic design that invisalign is made with.

How Does Invisalign Work
How Does Invisalign Work from d1l9wtg77iuzz5.cloudfront.net
The average invisalign treatment takes between 12 and 18 months. Thankfully, invisalign works to straighten teeth, but does invisalign help with gaps? How to help invisalign work best. The more crowded your teeth are the more time it will take. Are you planning on straightening your smile? The aligners provide.25mm of movement to the teeth per aligner. Read this invisalign timeline to learn how long it takes invisalign to work. It is typically only when a patient is seen for a.

Conventional braces.) how long do you have to wear retainers after having invisalign®?

When people first hear about invisalign, their first question usually is, how long does invisalign take to work? because you can remove invisalign realigners , you may find it tempting to take a break now and then. What issues can be corrected? Wondering how long clear aligner like invisalign take to work? The more crowded your teeth are the more time it will take. How does invisalign compare to traditional braces? With invisalign clear aligners, you can have a beautiful smile. How to help invisalign work best. Here's everything you need to know. Every individual interested in fixing their smile asks the same question: Invisalign requires full patient cooperation. How long your invisalign treatment takes depends on your condition and the severity of your diagnosis, but the most important thing you can do to invisalign aligners only work when they're in your mouth: However, each patient is different, which is why it's important to schedule an for example, you may need to wear invisalign braces for longer if you need to correct a slight overbite. How long does invisalign take for crowded teeth?

Posting Komentar

0 Komentar